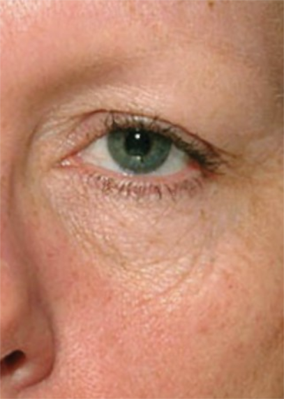
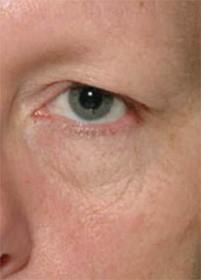
EYES

How it works: Thermage FLX uses radiofrequency
energy to stimulate collagen and tighten the skin,
without surgery or needles.
Every Thermage FLX treatment is personalized. AccuREPTM technology adjusts the energy delivery for each REP to meet the unique needs of your skin.
Measurable results appear gradually in the two to six months following a single treatment session and can last for 1-2 years depending on your skin condition and aging process.*
*Results improve over time and can be long lasting when part of an annual skin rejuvenation maintenance program.
Unlike many cosmetic procedures requiring multiple sessions, Thermage FLX delivers results after a single treatment. Best of all, results continue to improve over time.
The cost depends on the area you’re having treated. Your doctor can give you a more precise idea of cost based on where you want to see results.
The Thermage® FLX system incorporates vibration on the face and body treatments, which has been shown to help aid in patient comfort.
You’ll feel a brief heating sensation when the treatment device’s tip touches your skin, followed by a cooling sensation to help protect your skin and minimize any discomfort.
Some patients have temporary redness or minor swelling after treatment, but this usually goes away within 24 hours.
Most patients return to their regular activities immediately following treatment. No special care is required afterward, aside from basic skin maintenance and broad-spectrum sunscreens as part of a regular skincare regimen.